研究
患者さんの情報の研究利用に関するお知らせ
放射線治療科では,下記の研究課題に関して,検査で取得される患者さんの情報を利用することがあります.研究の概要,患者さんの情報の扱いについては,こちらを御参照ください.
研究内容のご紹介
1. 臨床研究:実際の患者データや治療現場を対象とした研究
2. SDM研究:患者と医療者の意思決定プロセスを対象とした研究
3. 予後予測研究:治療後の予後や有害事象の予測モデルを対象とした研究
4. 基礎生物研究:細胞や動物モデルを対象とした研究
5. 医学物理研究:放射線治療の物理的基盤を対象とした研究
1. 臨床研究:実際の患者データや治療現場を対象とした研究
Big dataよりAYA世代乳がんに最適な放射線治療を探る
1万例を超える詳細な実臨床データを解析することで、画一的に“年齢だけで決めない”個別化された放射線治療の適応を考える研究です。若年(AYA世代)で乳がんを発症した患者さんは、治療効果とともに生活の質(QOL)や整容性などへの配慮が特に重要です。現在、乳房温存手術後の放射線治療では、年齢を理由として一律で線量を増やす「ブースト照射」が行われていますが、その妥当性は十分に検証されていません。本研究では、年齢以外の再発リスク因子を明らかにすることで、治療強度を最適化する指標の開発を目指します。これにより、AYA世代乳がん患者さんにとって、より安心で負担の少ない個別化医療を提供するとともに、全ての患者さんに過不足のない放射線治療を実現するための仮説を創出することを目指しています。

早期肺がんに対する体幹部定位放射線治療
早期肺がんに対する体幹部定位放射線治療(SBRT)において、私たちは腫瘍中心部の線量を高く設定し、同時に周囲の正常肺組織の線量を低くする治療法を開発し、安全性を確認しました。この方法の導入から20年経過していますが、その間に治療を行った患者数は700名を超え、極めて良好な治療成績を認めています。日本のSBRTの標準的方法での局所制御率は85%なのに対し、この方法では99%を超え、ここ8年間で局所再発を1例も認めておらず、副作用も増えていません。この安全で良好な治療成績を示す方法の概念を応用し、心臓、気管支や食道などのリスク臓器に近い肺がんでは線量処方デザインを工夫しています。今後は、これらの治療成績を体系的に整理し、論文化を進めていく予定です。

肝臓癌に対する新たな選択肢としての体幹部定位放射線治療
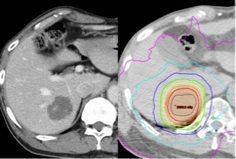
早期肝臓癌に対する体幹部定位放射線治療(SBRT)の前向き症例登録研究が、慶應義塾大学・高知大学を中心としてオールジャパン体制で始まります。本研究は、SBRTの有効性と安全性を前向きに検証することを目的としています。 日本放射線腫瘍学研究機構を基盤として、全国の施設から600例を目標に登録し、長期予後や再発様式、有害事象を追跡します。SBRTは短期間で高精度に照射でき、肝切除やラジオ波焼灼療法が困難な場合に有望な選択肢とされますが、十分なエビデンスはまだありません。本研究で得られるデータは、日本発の大規模なリアルワールドデータとして、将来のガイドライン改訂や治療選択肢の拡充に大きく貢献することが期待されます。

III期肺がん化学放射線療法における新規照射法の開発
2018年以降、III期肺がんに対する化学放射線療法後に維持療法として免疫チェックポイント阻害薬が導入され、治療成績が大きく向上しました。しかし、いまだに18-30%の方が放射線照射範囲内からの再発を来すと報告されています。また、局所制御向上目的に米国にて線量増加試験(第3相試験:RTOG0617)が行われましたが、線量増加群(74Gy)でむしろ全生存率、無再発生存率が低下するという結果となりました。そこで当院および関連施設では定位照射の技術を応用し、病巣の中心部は線量を増加し辺縁は急峻に線量を下げる照射法を始めています(下図のSIB-IMRT)。すなわち、腫瘍に対しては高線量を投与すると同時に周辺組織の線量は低減することが可能となりました。この方法の治療成績や有害事象について現在解析しています。

肝SBRTの安全性と臨床成績に関する研究
肝臓に対する体幹部定位放射線治療(SBRT)は、切除不能肝細胞癌や転移性肝腫瘍に対する有効な治療法として注目されています。まだ手術や他の治療法に比べて普及度は高くありませんが、今後さらに広がっていくことが期待されます。肝SBRTは比較的安全な治療法ですが、長期経過観察にて、稀に胆管狭窄を来すことがわかりました。そのため症例を集積・解析し、その特徴を明らかにする研究を進めています。また、基礎的な肝障害を有する患者における肝SBRTの臨床成績をまとめ、安全性と有効性を評価しています。
2. SDM研究:患者と医療者の意思決定プロセスを対象とした研究
SDMとは?
近年、がん治療はガイドラインに基づいた診療(EBM:evidence based medicine)が普及しています。一方で、標準治療以外の治療成績も向上し、患者さんが選べる選択肢は多様化しています。しかし現状では、医師が最適と考える治療法のみを説明し、患者さんの意向を十分に反映できていない診療も少なくありません。このような状況で、患者さんと医師が相談しながら治療方針を決める協働的意思決定(SDM:shared decision making)に基づく診療が注目されています。私たちは、その実現のために、治療法の選択肢や利点・不利益をわかりやすく示す意思決定支援ツール(pDA:patient Decision Aid) を開発しています。
食道がん患者に対するSDMの実装研究
本研究では、局所進行食道がん患者さん(stage II-III)を対象に、標準治療である「術前化学療法+手術」と、食道温存が可能な「化学放射線療法」の二つの選択肢について、理解を助ける動画主体のpDAを作成します。さらに、多施設共同で、このpDAを用いた実装研究を行い、pDAの有用性や治療後の生活の質(QOL)を評価します。得られた結果をもとに、さらにpDAを改善し、より良いSDM環境を整えていくことを目指します。また、今後は早期食道がん患者さん(stage I)を対象とした研究にも発展させていく予定です。

サステナブルなSDM診療「四方よし」に向けて
「がん」などの重大な病気を宣告されたあとに、患者さんが落ち着いて治療法を選ぶためには、十分な時間と情報が必要です。しかし医療資源は限られており、日本の医療経済は逼迫しています。過半数の病院が赤字経営に陥っている中では、患者さん一人ひとりに寄り添う診療の実現が難しくなる可能性があります。
このような状況において、協働的意思決定(SDM:shared decision making)診療は、患者さんが納得して治療を選択できるだけでなく、患者さんの意向に沿った治療法の選択や、医療従事者との信頼関係の向上をめざす診療方法です。一方でSDMは診療に時間がかかり診療の効率化とは相反します。そのため医療の持続可能性(サステナビリティ)についての検証を行う必要があります。
本研究では、SDMが国・医療機関・患者の全てにとって持続可能な仕組みとなりうるかを経営的、経済的、倫理的などさまざまな観点から評価し、SDMが「四方よし」となることを目指します。
また、慶應義塾大学病院の理念である「患者中心の医療を行う」ために、SDMを学術的根拠に基づいて推進し、社会的にも持続可能な医療モデルを確立していきます。

クロスリアリティ技術を用いた放射線治療の理解を深める没入型動画の開発
近年、クロスリアリティ(XR)技術は医療において新たな可能性を拓く技術として注目され、患者さんの病態や治療法の理解促進、学生や医療従事者への教育において利用されてきています。現在、XR技術を用いて放射線治療の様子を視覚的に体験できる没入型シミュレーションをシステム開発しています。具体的には、放射線治療の過程を収録した二次元の動画だけでなく、VRヘッドセットを用いて患者さんが放射線治療の実際の様子を現実に限りなく近い形で体験でき、直感的に放射線治療への理解が深まるよう支援することを目指します。患者さんにとって稀な経験である放射線治療を事前に疑似体験することで、未知の治療に対する不安を解消でき、閉所恐怖症や不安症の患者さんや小児の患者さんにも有効と考えます。加えて、医学部生や技師、看護師など医療従事者への教育面での効果についても検証予定です。

科研費 基盤研究 (C) 研究課題/領域番号: 次世代がん治療の選択支援:XR技術と意思決定ガイドを用いた放射線治療の普及 / 25K10944 (研究代表者)
早期肺がんにおけるインターネット上で利用可能な意思決定支援ガイドの作製
早期肺がんでは、外科手術による切除が標準治療として位置づけられています。一方、近年では体幹部定位放射線治療 (SBRT:stereotactic body radiotherapy) は、手術に近い成績が報告されています。日本の実臨床では主に手術不能、高齢者、または手術を希望しない際に考慮されており、手術可能な患者さんにはしばしば選択肢として提示されません。他方、アメリカやオランダでは、SBRTの割合は近年増加しており、オランダでは外科手術を上回っています。このため、SDMの一環として、早期肺がんの治療において手術およびSBRTの治療効果や副作用、日常生活への影響などを説明したpDA を作製しています。アンケート形式で各々の患者さんに最適な治療を模索することに加え、アバターを用いて視覚に訴えるナレーション映像を作製して組み込むことで、患者さんの理解を促進すべく改善を重ねています。
また、作成したpDAを山梨大学との共同研究で、実際に患者さんに使ってもらう前向き研究を検討中です。

AIが拓く次世代のSDM構想
近年、医療の現場ではAIを活用した支援が急速に広がっています。患者さんにとって医療は専門用語が多く、不安や疑問が残りやすいものです。本構想では、治療方針や副作用、通院スケジュールなどを、患者さんの理解度に合わせてわかりやすく説明する「患者向けAIエージェント」を作成し、日常生活上の注意点も理解しやすい形で提供することを目指します。不安軽減とセルフマネジメントの支援、医療者との円滑な対話も期待できます。さらに、SDMの場面では、AIエージェントがpDAをアシストします。患者さんが直接医師に尋ねづらい質問をAIにすることで、個々の価値観や希望を整理できます。これらはいずれも医師の負担を減らすだけでなく、患者中心の医療への橋渡しとなる存在です。

個別化放射線治療支援システムの構築
がん放射線治療において「どのくらいの線量が最適か」は、症例ごと、がんの塊の中でも部位ごとに異なります。本研究では、AIと画像解析技術を用いてがんの部位ごとの放射線感受性を定量的に評価し、腫瘍制御に必要な線量を推定する新たなモデルを構築します。さらに、大規模言語モデルを活用し、推奨線量とその根拠をわかりやすく提示することで、患者さんと医師が納得して治療方針を選択できるSDMを支援します。本システムにより、高リスク患者、高リスク部位にはより高い腫瘍制御を目指して高線量を、低リスク患者には副作用を抑えるために低線量を投与する情報を提供し、治療効果と副作用軽減の両立を実現することで、次世代の患者中心の個別化医療へと発展させていきます。

3. 予後予測研究:治療後の予後や有害事象の予測モデルを対象とした研究
婦人科腫瘍におけるRadiomics研究
当大学産婦人科と共同で、子宮頸癌・子宮体癌に対する治療成績の予測や疾患特性の解明、診断・治療戦略の最適化に関する研究を進めています。Radiomicsは、CTやMRIなどの画像から抽出された数百〜数千に及ぶ画像的特徴量から疾患の予防・診断・治療・予後予測の質を高める研究分野です。さらに、臨床情報や遺伝子情報などと統合的に解析する統合オミクス解析もできます。本研究では、婦人科腫瘍に対して、① 生存率や再発リスクを予測する個別化モデルの構築、② 悪性度分類の高精度化による診断精度の向上、③ 腫瘍微小免疫環境の推定による新たな治療戦略の探索を目指しています。これにより、婦人科腫瘍における精密医療の実現に貢献することが期待されます。

科研費 基盤研究 (C) 研究課題/領域番号: 婦人科悪性腫瘍の精密医療に資する非侵襲的MRIバイオマーカーの開発 / 25K10545 (研究代表者)
国立研究開発法人日本医療研究開発機構(AMED)研究課題/管理番号: Radiomicsを用いた若年子宮体癌の妊孕性温存療法における新たな予後予測バイオマーカーの開発 / 25ck0106066h0001 (研究分担者)
AIと先端技術を活用した肺癌治療効果予測の研究
現在、早期非小細胞肺癌(NSCLC)の標準治療は手術ですが、ピンポイントで病巣を狙う体幹部定位放射線治療(SBRT)も広く普及しています。しかし両者を直接比較したランダム化比較試験は乏しく、それぞれに利点と限界があるため、治療方針の決定には患者さんと医師が十分に話し合うこと(SDM:Shared Decision Making)が重要です。当科では、患者背景や膨大な治療データを基に、生存率・再発率・有害事象を客観的に予測するモデルの開発に取り組んでいます。これによりSDMや個別化医療を支援し、治療成績や患者満足度の向上を目指します。また、研究を支える基盤として、高性能GPUを搭載した研究用ワークステーションを導入し、数理モデル、機械学習、深層学習、生成AIといった先端技術を駆使して解析を進めています。肺癌のみならず、他疾患への応用も視野に入れた研究展開を行っています。

腫瘍動態に基づく適応放射線治療: Dose Painting 戦略の開発
放射線治療は技術革新によって精度が飛躍的に向上してきました。次に求められる課題は、「腫瘍の動態情報をいかに治療に反映させるか」です。本研究では、腫瘍内部に潜む再発リスクの空間的・時間的不均一性を画像解析によって可視化し、その分布に応じて線量を最適化する「Dose Painting 戦略」を開発します。Radiomics を応用し、CT・MRI・PET など日常診療で得られる画像から、人間の目では識別できない再発リスク関連の特徴を抽出します。そして、リスクの高い領域には集中的に線量を配分し、正常組織への影響を最小限に抑えます。これにより、「腫瘍の性質や変化に応じて最適化される適応放射線治療」という新たな標準の確立を目指します。

4. 基礎生物研究:細胞や動物モデルを対象とした研究
私たちの研究室では、胸部へのがん放射線治療の副作用である放射線誘発性心毒性、肺障害について、臨床で得られた結果を基に有害事象の発生を予測するモデルを構築し、さらにゲノム情報などを含めた統合オミクス解析を組み合わせることで、より高精度なリスク予測や個別化治療の実現を目指しています。
放射線生物学に関する基礎研究としてマウスの心臓や肺に放射線照射を行うことで放射線誘発性心毒性の動物モデルを確立し、マイクロCTによる画像解析や病理組織学的検討を通じて、心臓の線維化、肺炎、肺線維化など照射後に生じる経時的な変化を解析しています。これらの基礎研究で得られた知見を臨床応用へと繋げるトランスレーショナルリサーチを通じて新たな治療薬の開発を目指しています。

5. 医学物理研究:放射線治療の物理的基盤を対象とした研究
原子から分子、そして臨床へ
― ナノスケール線量評価に基づく次世代高精度線量計算の構築 ―
モンテカルロシミュレーションを中心に、計算科学・放射線物理学・放射線計測学を駆使して、次世代線量評価機構の構築に取り組んでいます。原子・分子のスケールによる線量評価からDNAレベルのシミュレーション、臨床応用までを一貫して探究し、精緻な線量計算基盤の開発を推進しています。さらに放射線検出器や計測回路などハードウェア系の開発や数理モデル・機械学習を用いた予測アルゴリズムの実装を通じて、治療計画の最適化と信頼性向上を実現し、患者ごとの個別化医療に貢献します。基礎研究から臨床まで幅広く挑戦できる学際的な研究環境で、次世代放射線治療の未来を切り拓いていきます。

EMSを用いた放射線治療中呼吸安定化装置の開発
放射線治療中に呼吸を安定化させることは、照射野を小さく、精度良く、短時間に照射を行うために重要です。既存の装置としては、呼吸周期の一部だけに照射を行う装置や、呼吸変動する腫瘍を追尾する装置、息止めを援助する装置があります。しかし、呼吸のリズムはしばしば不安定で、既存の装置のパフォーマンスに望ましくない影響を与えますが、侵襲性が少なく、呼吸そのもののリズムを安定化させる装置は存在しません。そこで本研究では、電気的筋肉刺激(EMS: electric muscle stimulation)を用いて腹筋に通電することで呼吸リズムを誘導し、安定化を図る装置を開発します。その後、ボランティアの協力を得て、呼吸リズムの安定効果や装着時の負担を評価し、社会実装に向けた有効性と実現可能性を検証します。

立位放射線治療研究
従来の放射線治療は、患者さんを仰向けに固定して、腫瘍を中心に治療装置が回転しながら照射する方法が一般的です。一方、立位放射線治療は、患者さんを座らせ、椅子ごと回転して照射する方式です(立位のこともあります)。この方法では、治療装置の簡素化やコスト削減、治療中の快適性向上、線量分布が改善するなど、多くの利点が期待されます。当大学放射線診断科では世界初の立位CT装置を開発し、社会実装しました。本研究ではそのデータを活用し、立位放射線治療のシミュレーション解析を行います。具体的には、同一患者の立位と臥位CTで、解剖学的変化や線量分布比較を解析することで、立位放射線治療の実現可能性を検証します。このようなデータを保有する施設は世界的にも稀であり、将来の放射線治療の発展に大きく寄与すると期待されます。

科研費 基盤 (B) 研究課題/領域番号: 立位CTを用いた重力下での人体の解析と未来医療への応用 / 25K03440 (研究分担者)
放射線治療計画AI支援ソフトウェアの開発
近年の放射線治療技術の高度化に伴い、放射線治療計画の作成にかかる人的・時間的コストが増加しています。このような状況下では、大学病院やがんセンターなど豊富な症例経験を有する多くのスタッフの在籍するハイボリュームセンターと症例数や人員が限られる中小規模の市中病院において、放射線治療の質に差が生じる可能性があります。結果として、治療成績や有害事象に影響を及ぼす可能性もあります。放射線治療が高度化した現在、業務負担の軽減と質の均てん化が課題となっています。
当教室では、アイラト株式会社と共同研究を行い、当院で放射線治療を行った症例を学習したAIを用いて①腫瘍とリスク臓器輪郭の自動抽出システム、②適切な放射線治療計画の線量分布予測システム、③安全性検証結果予測システム、④治療効果と投与線量を予測するシステムを担うソフトウェアを開発しています。これらのAI支援技術により、国内外の放射線治療施設の業務負担の低減や均てん化を目指します。









