消化管のX線診断については,当科は特に長い伝統をもっています.放射線診断科の創設時のメンバーとして赴任された熊倉賢二教授は,生涯を胃の二重造影法の開発と早期胃がん診断技術の確立に捧げました.千葉大時代には,白壁彦夫・市川平三郎と共にその功績で朝日賞を受賞しており,わが国の消化管X線診断のパイオニアです.特に慶應赴任された後の1975年以降は,消化管X線装置,バリウム造影剤,前処置法,検査法のほとんどを当科から発信することになりました.これらの内容は,『図譜による胃X線診断学―基本所見の成り立ちと読影 (1968年 金原出版) 』及び『胃X線診断学 ー検査編ー(1993年 金原出版)』として上梓されています。二重造影法は,杉野吉則(現慶應義塾大学医学部特別招聘教授),今井裕(現東海大学医学部教授)らに受け継がれ,1988年に今井裕は”Radiographic diagnosis of small flat elevation of the large intestine and their clinicopathological significance.”と題する発表で北米放射線学会の最高賞であるMagna Cum Laudeを受賞しています.
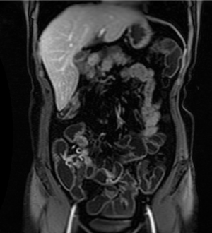
2000年以降,消化管の画像診断は新しい局面を迎えています.従来のバリウムX線造影,内視鏡に加え,3次元CTによって大腸を検査するCTコロノグラフィー(CT colonography, CTC:図1~3)の普及がすすんでいます.また、クローン病や潰瘍性大腸炎など小腸・大腸におきる炎症性腸疾患を対象とした、MRエンテログラフィー(MR enterography, MRE)(図4)も登場しています.
当科では,これまでに積み重ねた歴史のもと,このCTCやMREに積極的に取り組み,従来の検査法と適切に使い分けることにより,患者さんにとってより負担の少ない,高精度の画像診断を提供できるよう,新たな検査法,画像表示法の開発を進めています.

図1:air注腸像 腫瘍(→)

図2:仮想内視鏡像 腫瘍(→)

図3:術前シュミレーション画像.赤:動脈,青:静脈,緑:腫瘍,黄:リンパ節転移

図4:MR enterography.小腸と大腸のほぼ全域を撮像範囲におさめ,クローン病など炎症性腸疾患の活動性評価に役立つ.本症例では小腸(回腸)末端部の壁が肥厚して,静脈から注射した造影剤により強く濃染している.